Therapiegebiete & Indikationen
IPF
Ein IPF Patientenfall mit FVC >90% pred. stellt sich vor. Stellen Sie die richtige Diagnose?
Fallübersicht
Patientenanamnese
- 68-jähriger, männlicher Patient
- Ehemaliger Raucher (ca. 5 Packungsjahre, vor 40 Jahren aufgehört)
- Keine Berufsrisiken
- Schädliche Umwelteinflüsse: War vor einigen Jahren einer Schimmelbelastung ausgesetzt
- Keine regelmäßige Medikamenteneinnahme
Symptome bei der
Erstpräsentation
- Leichte Belastungsdyspnoe [Sport (Tennis) mit geringfügigen Einschränkungen möglich] mit intermittierendem Husten > 6 Monate
- Sodbrennen
Vorerkrankungen und Untersuchungen
Komorbiditäten
- Obstruktive Schlafapnoe (behandelt mit kontinuierlich positiver Atemwegsdruck-CPAP-Beatmung)
- Refluxösophagitis
Körperliche Untersuchung bei der Erstpräsentation
- Beidseits basales inspiratorisches Knisterrasseln bei Auskultation
Ausgangswerte der Lungenfunktionsuntersuchung

Ausgangswerte von Spirometrie und
Diffusionskapazitätstest
VCmax: maximale Vitalkapazität | FVC: forcierte Vitalkapazität | FEV1: exspiratorische Einsekundenkapazität | TLC: totale Lungenkapazität | DLCO: Kohlenstoffmonoxid-Diffusionskapazität der Lunge
![]() | Röntgenaufnahme des Thorax |
![]() | Hochauflösende Computertomographie |
![]() | Kontrastverstärktes Thorax-CT |
![]() | Angio-CT des Thorax |
![]() | Magnetresonanztomographie des Thorax (MRT) |

1. Richeldi L et al., Respir Med. 2016;113:74–79.
Ein IPF Patientenfall mit FVC >90% pred. stellt sich vor. Stellen Sie die richtige Diagnose?
Ergebnisse der bildgebenden Verfahren
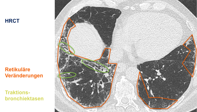
Der behandelnde Arzt hat sich für eine hochauflösende Computertomographie
(HRCT) des Thorax entschieden und folgende klinische Befundung erhoben:
Befundung des HRCT-Scans:
- Retikuläre Veränderungen
- Milchglasartige Dichteanhebungen
- Traktionsbronchiektasen
- Nicht vorhanden: Honigwabenmuster
CT: Computertomographie | HRCT: hochauflösende Computertomographie
![]() | Wahrscheinliche IPF |
![]() | NSIP |
![]() | Wahrscheinliches UIP-Muster |
![]() | Exogen allergische Alveolitis |

HRCT: hochauflösende Computertomographie | IPF: idiopathische Lungenfibrose |
NSIP: nicht spezifische interstitielle Pneumonie | UIP: gewöhnliche interstitielle Pneumonie
Ein IPF Patientenfall mit FVC >90% pred. stellt sich vor. Stellen Sie die richtige Diagnose?
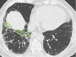
Hochauflösende Computertomographie (HRCT)




Überblick hochauflösende
Computertomographie
![]() | Retikuläre Veränderungen |
![]() | Milchglasartige Dichteanhebungen |
![]() | Traktionsbronchiektasen |
![]() | Honigwabenmuster |


Ein IPF Patientenfall mit FVC >90% pred. stellt sich vor. Stellen Sie die richtige Diagnose?
Anamnese und weitere Untersuchungen
Weitere Untersuchungen und Ergebnisse zur Diagnosesicherung
Ergebnisse des 6-Minuten Gehtests
- Distanz: 495 m
- Initialer SaO2: 96%
- Minimaler SaO2: 93%
Echokardiographie
- Unauffällig, keine Anzeichen für PH
Antikörperprofil (Ausgangswerte)
Bronchoskopie: Differentialblutbild der BAL (Ausgangswerte)
Durchführung einer chirurgischen Lungenbiopsie
- Aufgrund des wahrscheinlichen UIP-Musters im HRCT wurde nach Diskussion im multidiziplinären ILD-Board eine Biopsie durchgeführt.
- Die chirurgische Lungenbiopsie wurde an den linken Ober- und Unterlappen der Lunge durchgeführt.
- Das histopathologische Ergebnis ergab ein UIP-Muster.
Zusammenfassung bisheriger Befunde und Nachweise
Radiologisches Ergebnis: Wahrscheinliches UIP Muster
Histologisches Ergebnis: UIP-Muster
Differentialdiagnose: Kein Hinweis auf andere Ursachen einer ILD
ILD: interstitielle Lungenerkrankung | UIP: gewöhnliche interstitielle Pneumonie
![]() | IPF |
![]() | Wahrscheinliche IPF |
![]() | Exogen allergische Alveolitis |
![]() | Sarkoidose |

IPF: idiopathische Lungenfibrose
Ein IPF Patientenfall mit FVC >90% pred. stellt sich vor. Stellen Sie die richtige Diagnose?
![]() | Strategie “Beobachten und Abwarten” und aktive Überwachung |
![]() | Einleiten einer antifibrotischen Therapie |
![]() | Nicht-pharmakologische Behandlung, z. B. pulmonale Rehabilitation |
![]() | Kombinationen der oben genannten Antworten |
![]() | Keine der genannten Antworten |

Ein IPF Patientenfall mit FVC >90% pred. stellt sich vor. Stellen Sie die richtige Diagnose?
Behandlungsentscheidung
Erläuterung zum weiteren Vorgehen
Die Antworten 2 (Einleiten einer antifibrotischen Therapie) und 3 (Nicht-pharmakologische Behandlung) sind mögliche Behandlungsoptionen.
Nach aktueller Empfehlung der deutschen Leitlinie sollten Patienten ausführlich über die Erkrankung und bestehende Therapiealternativen aufgeklärt werden.1
Die deutsche Leitlinie konstatiert, dass symptomatischen Patienten mit einer IPF eine antifibrotische Therapie ab Diagnose empfohlen werden sollte.1
Behandlung in der ambulanten Klinik
Nach Besprechung der Behandlungsmöglichkeiten entschied sich der Patient gegen eine antifibrotische Behandlung und wählte die nicht-pharmakologische Behandlungen (Lungensport, Impfungen etc.) sowie eine zeitnahe Folgeuntersuchung.
Anpassung der Behandlung
Nach 3 Monaten sprach der Patient zur Folgeuntersuchung vor. Obwohl er noch zu regelmäßiger sportlicher Betätigung fähig war, zeigte er eine milde Verschlechterung der sehr leichten Dyspnoe und hustete regelmäßig.
Der Patient entschied sich für eine antifibrotische Therapie und begann eine Behandlung mit Nintedanib.
IPF: idiopathische Lungenfibrose. | 1. Behr J et al., Pneumologie. 2017;71: 460–474.
Der Zustand des Patienten konnte im weiteren Krankheitsverlauf stabilisiert werden
Wie war der weitere Krankheitsverlauf unter antifibrotischer Behandlung?
- Unveränderte Symptomatik
- Unveränderte Lungenfunktionswerte
- Keine Infektionen
- Keine Exazerbationen
- Weiterhin sportlich aktiv
- Keine signifikanten Nebenwirkungen seit Beginn der antifibrotischen Therapie
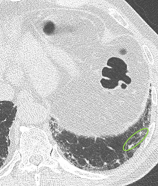
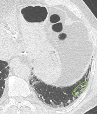
Lungenfunktion vor und nach Beginn der antifibrotischen Behandlung

Lungenfunktion vor und nach Beginn der antifibrotischen Behandlung
10 Monate nach dem ersten Scan
CT bei der Erstpräsentation
10 Monate nach dem ersten Scan
Fazit
- Den derzeitigen Richtlinien zufolge sollte ein wahrscheinliches UIP-Muster im HRCT mit einer pathologischen Untersuchung abgeklärt werden, soweit keine Kontraindikationen für diese Methoden vorhanden sind.1
- Die Behandlungsmöglichkeiten sollten detailliert mit dem Patienten besprochen werden, um die beste Lösung für sie zu finden – nicht-pharmakologische Optionen sollten eingeschlossen werden.
- Eine antifibrotische Behandlung bei IPF-Patienten mit nur leicht beeinträchtigter Lungenfunktion ist empfohlen, sofern die Diagnose gesichert ist.1
HRCT: hochauflösende Computertomographie | IPF: idiopathische Lungenfibrose | UIP: gewöhnliche interstitielle Pneumonie
1. Behr J et al., Pneumologie. 2017;71: 460–474.
Weitere Informationen
Lungenfibrose
Die Zeit läuft ab.
Erfahren Sie hier alles rund um Lungenfibrose bei rheumatoider Arthritis.
Kennen Sie die Gefahren?
Lernen Sie die Risiken einer Lungenfibrose bei rheumatoider Arthritis kennen.
Früherkennung
Hören Sie es knistern?
Erkennen Sie mittels Auskultation das Schlüsselmerkmal der Lungenfibrose.
Patientenmanagement
Einfache Tipps bei Lungenfibrose
So können Sie mit einem proaktiven Management der therapiebedingten Beschwerden Ihre Patient:innen unterstützen.
